您值得得到最好的照顾

世界上最有经验的肢体延长外科医生,安全可控的骨延长手术

顶尖医疗团队

医生团队拥有数十年的肢体延长手术经验,是美国乃至全球该领域的权威专家

Paley研究院医疗团队合照

全球顶尖经验

Paley骨科与脊柱研究所身高中心是全球开展肢体延长与身高手术经验最丰富的机构,保持行业最高成功率。

创始人Paley博士

创始人德罗尔·Paley博士自1986年以来已完成超过25,000例手术,其学生克雷格·罗宾斯医生深度协作七年,共同积累了全球最安全、最系统的临床经验。

安全至上

肢体延长术不同于普通美容手术,风险高、并发症复杂。我们以安全优先为核心,建立了全球无可比拟的保障体系。

多学科协作

团队由外科、麻醉、内科、康复、护理、物理/职业治疗等多领域专家组成,全程协作,确保手术安全与康复高效。

最佳安全记录

凭借深厚的专业积淀与完善的组织架构,我们保持业界领先的安全记录,为每一位患者提供安心、可靠的治疗体验。

PALEY, MD(医学博士), FRCSC

PALEY, MD(医学博士), FRCSC

创始人、医疗总监

Paley 教授是国际骨科界公认的顶尖专家,也是全球肢体延长与重建领域最具影响力的外科医生之一。2009 年,他在美国佛罗里达州西棕榈滩创立了 Paley 研究院,并担任研究所主任,致力于为全球患者提供最先进的骨科矫形与功能重建治疗。 在创立研究所之前,Paley 教授曾于 2001 年创立 鲁宾高级骨科研究所并出任主任,同时担任 巴尔的摩西奈医院国际肢体延长中心(ICLL) 主任(2001–2009)。更早之前,他在 马里兰大学 任教十余年(1987–2001),期间担任儿科骨科主任,为美国儿童骨科的发展作出重要贡献。

从业三十余年间,Paley 教授已完成 超过 20,000 例肢体延长与重建手术 ,是全球在该领域经验最为丰富的外科医生之一。他是苏联骨科大师 Gavriil Ilizarov 教授技术体系的重要传承者与创新者,并在此基础上研发出多项领先的手术技术与器械,如先进的 髓内延长钉系统(Precice / STRYDE),有效降低了传统外固定术的风险与并发症。 早在 1990 年,Paley 教授便首次对肢体延长手术的并发症进行了系统性分类,为全球同行提供了标准化的临床指南。他至今已出版 9 本专业著作、75 个章节内容,并发表 195 篇国际同行评审论文,其研究成果被广泛引用,是全球肢体重建外科的重要参考文献。

Feldman MD(医学博士)

Feldman MD(医学博士)

联合创始人兼首席外科医生

Dr. Feldman 是国际公认的儿科骨科与脊柱畸形矫正领域专家,在儿童先天性骨骼畸形、脊柱侧弯、髋关节发育不良及复杂肢体重建方面拥有三十余年的临床经验。 他于 2015 年加入 Paley 研究院,与 Dr. Paley 教授共同创建全球领先的多学科骨科诊疗平台,为来自世界各地的患者提供精准、安全、个体化的治疗方案。 在此之前,Feldman 博士曾任纽约大学朗格尼医学中心儿童骨科主任,并在国际学术领域发表百余篇论文与专著章节。他是美国骨科医师学会(AAOS)和北美脊柱学会(SRS)的资深成员。

Feldman 博士始终坚持以患者为中心的理念,致力于通过精准手术与系统康复,帮助每一位儿童重获行动能力与生活信心。

Robbins MD(医学博士)

Robbins MD(医学博士)

骨科外科医师

Dr. Robbins 博士是国际知名的儿科骨科与肢体畸形矫正专家,长期致力致力于儿童及成人的肢体畸形、骨骼发育障碍与延长矫正手术的临床实践与教学工作

他毕业于迈阿密大学医学院,完成杜兰大学骨科住院医师培训,并在 Campbell Clinic 取得儿科骨科专科认证。在此期间,他还曾作为短期学术访问研究员,就肢体畸形矫正方法向 Paley 教授门下进修。

他的专业领域涵盖先天性与获得性肢体畸形(如股骨或胫骨发育不全、胫腓骨半畸形、疤痕性短肢、骨癒合异常、骨不连、角度畸形、不等长肢体矫正等)和骨骼矫形与延长手术,在外固定与髓内延长系统的应用上经验丰富。此外,Robbins 博士也参与成人肢体畸形矫正的治疗与研究。

在学术与教学方面,Robbins 博士长期在全国范围内参与讲学、外部固定器和畸形矫正技术培训,并作为专家顾问参与同行评审与技术推广。

他与 Paley 教授一道,构成 Paley “身高/延长中心”团队的核心力量。自加入 Paley 研究所以来,他与 Paley 教授共同为全球患者提供系统化的延长与重建治疗方案。

Minas MD(医学博士), MS, FACS, FRCS(C)

Minas MD(医学博士), MS, FACS, FRCS(C)

软骨修复中心主任

Minas 博士拥有医学博士(MD)与流行病学硕士(MS)学位,是美国与加拿大双重认证的骨科专家(FACS, FRCS(C))。

2018 年,Minas 博士加入 Paley 研究院,出任软骨修复中心主任,此前曾在哈佛医学院担任骨科教授长达 30 年。

他是关节保存、软骨再生与修复手术的先驱之一,曾在 1995 年将自软骨移植术从瑞典引入美国,并长期领导该领域的临床应用与技术革新。

Minas 博士擅长使用多种先进手术方法和个体化策略来修复软骨损伤、延缓关节退化、改善髋膝关节功能。他在软骨移植、组织重建、定制关节置换设计等方面拥有突出造诣。

在学术贡献方面,Minas 博士著有专著、诸多书章,并在国际期刊上发表超过 100 篇同行评审论文。

他还在软骨修复与关节保存领域多次担任国际会议主席或主讲专家。他目前是 国际软骨修复协会(ICRS) 的创始成员之一,并在该组织中担任重要职务。

查看更多

25000+

成功案例

99%

客户满意度

0

严重感染案例

30+

年专业经验

成功案例

30年的经验,教授团队完成25000例的延长手术,团队手术经验丰富,致力于追求最佳效果和安全性。

案例1-1
案例1-2
案例1-3

一位美国男性通过同时延长双侧股骨和胫骨,总身高增长11.5厘米(4.5英寸)。他站在妻子身旁的照片展示了手术前(左)与手术后(右)的对比。患者的股骨延长了6.5厘米,胫骨延长了5厘米,总增高幅度达11.5厘米。

案例2

6.5厘米股骨与5厘米胫骨骨整合——重返工作与日常活动,甚至登山滑雪。

帅到怀疑人生的一幕跳绳。一年坚持,收获了+8cm。在专业物理治疗师每日的陪伴下,一步步适应了全新的高度并恢复运动。如今不仅能自如行走,还能自信地享受生活。

客户真实评价

来自全球患者的真实反馈,见证Paley研究院的专业服务与卓越成果

我希望这张纸条能让你一切顺利!我是杰西卡,一名患者,于2020年9月对我的胫骨进行了肢体延长手术。大约2个月过去了,我想就我在Paley研究院接受的手术和医疗保健方面的经验提供反馈。首先,我要感谢您和罗宾斯博士所做的先进技术和出色的作。我与其他在德国和韩国接受手术的Llers进行了一些讨论,我们都同意我的X光看起来最好,手术后我的脚踝运动也更好。我还要特别感谢罗宾斯医生在手术后提供的专门护理。在这个过程中我遇到了问题,但他和团队一直在提供有效的药物和有用的指导。我非常感谢!我还要感谢Angelique 从咨询前到手术后所做的一切。她非常乐于助人、知识渊博、反应灵敏且以客户为导向。更不用说她在鼓励我做手术方面做得非常出色,之后她跟进了我的身体和精神状况,并在事情发生时提供了有用的信息或将我联系到正确的联系人。我对她的服务非常满意。

J
杰西卡
美国佛罗里达州
2022年11月

我成为Paley医生的病人已经快一年了。从头到尾都很棒的服务!整个团队在我的整个延长过程中都非常有帮助。该程序最好的一点是您可以每2周去看一次医生。安全总比后悔好!预防任何并发症的最佳方法。我简直不敢相信整个过程是多么顺利!我强烈推荐Paley研究院!

D
迪伦
加拿大安大略省
2023年3月

圣玛丽医院是我去过的最好的医院。护士们非常友善,随时准备提供帮助。在Paley研究院,我得到的专业护理和治疗确实物有所值,绝对是完成延长手术的最安全的地方。整个过程再好不过了。

J
J. M.
英国伦敦
2023年8月

非常感谢Paley团队为我提供如此卓越的服务!他们让我对手术感到知情和自信。Paley医生的长期经验和他的手术安全记录中赢得了我的信任。Paley研究院是我参观了另外2个地方以增加身高后结构最完善的设施之一。

J
J. R.
澳大利亚悉尼
2024年5月

我要对Paley研究院以及整个医生、物理治疗师和客户协调员团队表示感谢,他们在这次复杂的手术中对我给予了极大的照顾。我要特别感谢Paley博士、Robbins博士、最好的物理治疗师Jason和Michael,以及客户协调员Angelique和Sylwia.这些人全心全意地为我的早日康复付出了努力。在他们的帮助下,我能够延长整整8厘米,这是STRYDE允许一个人拉长的最大长度。这次手术让我的生活变得更好。在Paley研究院进行手术之前,我又去看了美国的两位医生进行咨询。毫无疑问,Paley博士的团队是最好的。我绝对向未来的患者推荐Paley医生。

I
伊凡
俄罗斯莫斯科
2024年11月

我在Paley研究院与员工和外科医生的合作体验非常棒。从我最初询问延长身体到实际手术和物理治疗,我总是觉得我的健康是重中之重。我对结果非常满意,恢复时间也如约而至。我要特别感谢Paley医生和罗宾斯医生改变了我的生活,并感谢为我的手术成功做出贡献的支持人员和物理治疗师。我对你们感激不尽!

C
查尔斯
美国纽约
2025年2月

专业增高解决方案

标准版和定制升级版两种不同套餐,满足不同需求的客户,全程美国顶尖团队保驾护航

标准版

股骨延长 ¥730,000起
胫骨延长 ¥800,000起
股骨+胫骨同时延长 ¥1,460,000起
股骨+胫骨分期延长 ¥1,540,000起
费用温馨提示:

本报价所列人民币金额为估算值,实际支付时可能因汇率波动而有所浮动;同时,此价格为日常参考价,在圣诞、新年等节假日期间可能存在上浮。

股骨延长 - 标准版

¥730,000起

包含内容

  • 增高手术核心费用
  • 基础康复计划
  • 术前全面评估
  • 术后基础随访

方案详情

股骨延长手术最多可实现8cm(3.15英寸)的增高效果。手术采用微创技术,恢复期约6-9个月。

标准版包含手术核心费用和基础康复服务,适合预算有限但对增高效果有明确需求的客户。

股骨延长 - 定制升级版

¥1,180,000起

包含内容

  • 增高手术核心费用
  • 基础康复计划
  • 术前全面评估
  • 术后基础随访
  • 医疗翻译服务
  • 药物支持
  • 专属住宿安排
  • 就诊交通支持
  • 陪护与康复管理
  • 定制营养计划
  • 行前与签证支持

方案详情

股骨延长手术最多可实现8cm(3.15英寸)的增高效果。定制升级版提供全方位高端服务,从术前准备到术后康复全程无忧。

包含专属医疗翻译、VIP住宿安排、全程交通接送、专业陪护、定制营养计划等增值服务,让您专注于康复过程。

手术流程

初始咨询

咨询从称为EOS扫描的专门站立X射线开始。这是以双平面方式(同时正面和侧面)对您的整个身体进行从头到脚的低辐射剂量扫描。

手术

您将与手术团队进行术前访问,以检查同意书和所有文书工作。您还将与我们的术前护士和麻醉师预约。

延长阶段

手术后第一周不进行延长。这称为潜伏期。手术后一周,您将开始延长阶段。在延长阶段,PRECICE内置装置每天会延长1毫米的骨骼。

理疗

在延长阶段需要每天(每周5天)进行物理治疗(PT)。Paley研究所在现场设有专门的物理治疗部门。

骨骼愈合

一旦达到所需的长度,您将进入骨愈合(巩固)阶段,然后您可以回家。

硬件拆卸

一旦新的再生骨完全愈合并且您恢复到正常的活动水平,最后一步将是去除PRECICE内置装置。

潜在并发症

自1986年以来,Dr. Paley已实施了超过25,000例肢体延长手术。他在各种类型的肢体延长方面都有最好的成功记录。

了解可能的风险与我们的专业应对方案

重要说明

没有人想要意外的问题、并发症和成本。由于这些原因,Paley博士在肢体延长过程的许多方面都非常保守。Paley博士试图预测问题并预防并发症。许多并发症会导致额外的手术,从而产生额外的费用。这就是为什么经验很重要,也是您应该立即联系我们的原因。

1 脂肪栓塞

为了将 Stryde 钉插入骨头,外科医生必须通过称为扩孔骨头的过程钻开骨头。铰孔会导致骨骼压力增加(例如将柱塞插入注射器),从而导致骨髓中的脂肪移位。其中一些被推入流通。当这种脂肪被肺部过滤时,称为脂肪栓塞。肺部对少量脂肪的耐受性良好,不会出现任何症状。

大量会导致呼吸急促和氧合降低。在大多数情况下,这是通过鼻插管呼吸氧气几天来治疗的。在更严重的情况下,使用带氧气的面罩代替。最后,在非常罕见和最严重的脂肪栓塞综合征 (FES) 病例中,患者可能需要转移到 ICU,包括插管和呼吸机治疗。

患者甚至可能死于脂肪栓塞。迄今为止,我们从未有患者死于 FES,只有一名患者需要 ICU 治疗。为了降低脂肪栓塞的风险,我们使用特殊的铰刀,这些铰刀不会增加髓内压力。Paley 博士还开发并发表了他通过预钻截骨部位来排气髓内管的技术。我们还根据术中脉搏血氧饱和度和血压数据调整手术中的扩孔率。通过所有这些预防措施,我们需要治疗的有症状性脂肪栓塞的发生率为 4%。

风险因素

吸烟或电子烟会损害肺部,如果发生脂肪栓塞,患者会面临更大的风险。

2 深静脉血栓形成 (DVT) 和肺栓塞 (PE)

DVT 可发生在任何骨科手术后或任何骨折后。幸运的是,我们这种并发症的发生率非常低 (1%)。预防是关键。

虽然我们很少看到 DVT 病例,但没有一个导致肺栓塞 (PE)。如果凝块脱落并游移到肺部,就会发生肺栓塞。它会导致呼吸急促、胸痛,甚至死亡。这就是为什么我们小心翼翼地防止这种情况发生。

风险因素

服用口服避孕药和吸烟会增加患 DVT 的风险。

预防措施

我们所有的患者都接受抗凝剂治疗,对于高危患者。

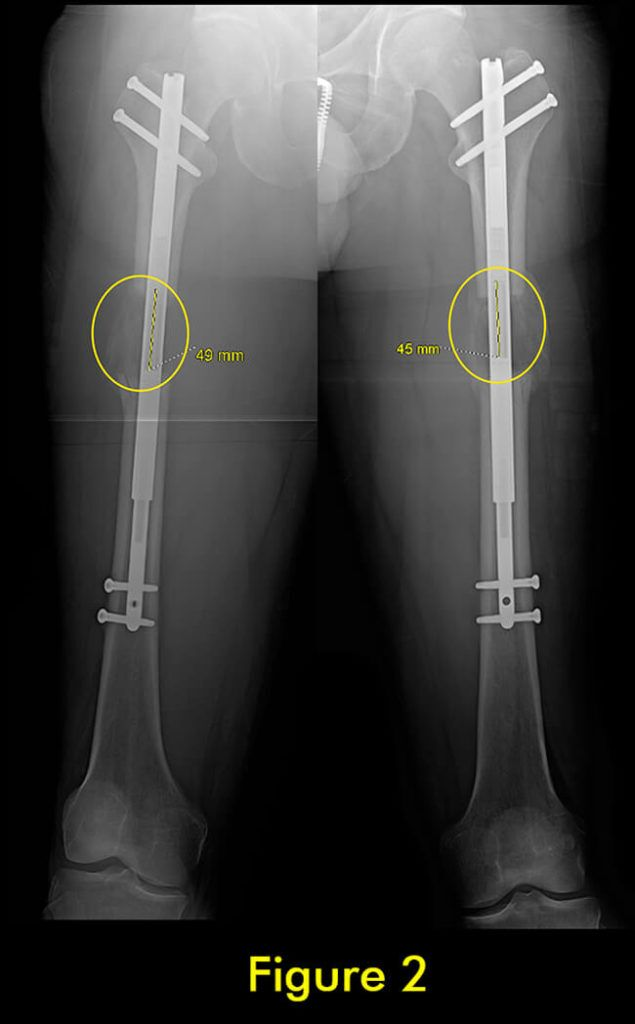
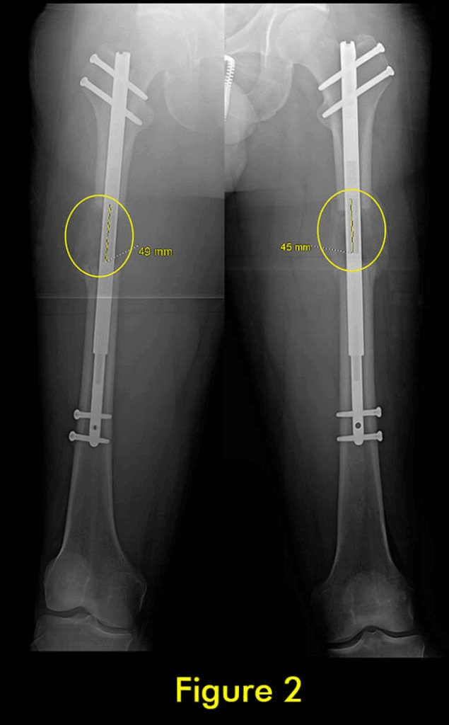
3 过早合并

在这种并发症中,患者的骨骼会过早愈合并阻止进一步延长。如果患者是非常快速的骨愈合者,任何延长方法都可能发生过早巩固 (PC)。在这些情况下,患者能够比骨骼延长的速度更快地制造骨骼。防止这种情况的唯一方法是有意加快延长速度一两周。

Stryde 钉子具有出色的速率控制,使外科医生能够做到这一点。如果确实发生过早实变,则需要进行小型门诊手术,通过一个小切口重新折断骨头。这种并发症的发生率约为 1%。这是为数不多的可能导致重新折断骨头的额外费用的并发症之一。我们无法预测谁会成为太快的骨治疗师。

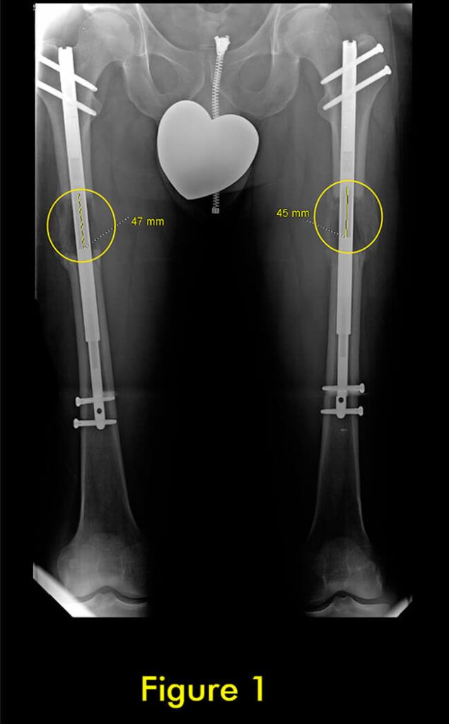
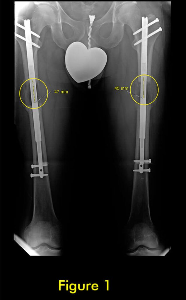
过早合并示意图1
图1:延长量细微差异
过早合并示意图2
图2:X光片确认诊断
过早合并示意图3
图3:重复截骨术
过早合并示意图4
图4:完全巩固
4 合并延迟或失败

任何延长手术都可能发生骨骼愈合缓慢或失败的情况。最好的治疗方法是预防。我们首先确定可能在手术前减缓愈合的因素:骨质疏松症、佝偻病、更年期、维生素 D 水平低、吸烟/电子烟(包括二手烟)、使用抗炎药、使用抗惊厥药物和其他药物使用。我们还推荐补充剂以帮助骨骼更快愈合(硅酸)。所有患者都服用维生素 D 补充剂,以防止延迟愈合。

自 2011 年我们开始使用 Precice 指甲以来,没有一名患者需要手术来治疗巩固延迟或失败。所有人都通过非手术方法成功治疗,包括唑烷酸输注、甲状旁腺激素 (维生素 D 和其他补充剂以及 Exogen 骨刺激剂。如果尽管采取了上述所有步骤,但仍出现延迟愈合,我们开始使用手风琴技术。使用 ERC 装置,骨骼每天压缩 1 毫米,每天分散注意力 1 毫米。这个循环每天重复几次。这会刺激骨骼愈合并避免手术的需要。

如果需要手术,我们知道如何通过手术使骨头愈合。当我们使用一些没有速率控制的旧植入钉(例如 ISKD)时,我们获得了这种经验。骨愈合失败的情况并不少见。因此,我们非常熟练地使用骨和骨髓移植来使骨骼愈合。虽然我们希望 Precice 或 STRYDE 指甲永远不需要它,但如果我们确实需要它作为后备,我们在根据需要管理这种并发症方面非常有经验。对于外科医生来说,不仅要知道如何进行手术,还要知道如何处理所有潜在的并发症,这一点至关重要。

患者在外部设施中延长后出现间歇愈合
患者在外部设施中延长后出现间歇愈合

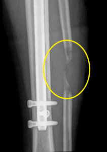
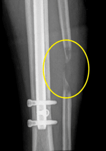
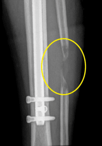
该患者在外部设施中身材延长了厘米。完成延长手术几个月后,腓骨的间歇愈合很小。

5 神经损伤

任何延长手术都可能发生神经损伤,但如果分心率不超过每天 1 毫米且延长量受到限制,则这种情况非常罕见。心率控制是防止神经损伤的最重要因素。识别神经症状很重要。

在这种情况下,应停止或减慢延长速度。如果出现任何运动症状(肌肉无力或麻痹),应尽快进行神经减压手术。这是一个小型门诊手术。在大多数情况下,出现麻烦的是腓神经。重要的是外科医生知道如何为这条神经减压以防止脚下垂。减压延迟会导致永久性足部下垂。对于 Stryde,由于出色的速率控制,神经损伤非常罕见。神经刺激也可以使用神经刺激也可以使用药物进行医学治疗。

一种特殊的轻微神经损伤是拇长伸肌的小分支。这条神经面临腓骨截骨术的风险,我们这样做是胫骨延长的一部分。这种神经损伤会导致大脚趾下垂,这几乎不会引起明显的问题。虽然这种并发症非常罕见,但如果确实发生,除了等待神经自发恢复之外,没有任何治疗方法,这通常会这样做。

神经损伤
6 肌肉痉挛

肌肉通常会随着拉长而变得紧绷。当肌肉变得足够紧以阻止关节在其整个运动范围内移动时,就会发生肌肉挛缩。为了预防肌肉挛缩,物理治疗 (PT) 至关重要。

患者应每天对有风险的肌肉和关节进行伸展运动(例如膝关节和股四头肌用于股骨延长,踝关节和跟腱用于胫骨延长)。除了正式的 PT 外,患者还应该每天在家中进行几次自己的伸展运动。PT 对于延长过程至关重要。然而,它很昂贵。如果患者不愿意做 PT,我不会考虑进行延长。这不是降低成本的选择。Precice 的受控延长速度降低了肌肉挛缩和肌肉痉挛的风险。Precice 并不能消除对 PT 的需求。在延长过程中保持活动范围并防止挛缩可以减少延长完成后恢复正常功能的康复时间。

膝盖或脚踝的固定挛缩会导致残疾,并需要更长时间的 PT 和相关费用。如果尽管进行了额外的 PT,但挛缩仍未消退,则可能需要进行额外的手术来延长肌肉、肌腱和筋膜。我尝试并预测这一点,并预防性地延长某些软组织结构以防止挛缩(例如 髂胫束 (ITB))。如果在初次手术时进行,则额外费用很小。如果以后需要进行软组织延长手术,费用要高得多,因为还必须支付住院费用。

虽然延长某些肌肉或肌腱(例如二头肌肌腱或 ITB)不会产生任何后果,但某些肌腱延长会导致永久性无力,应避免。带有跟腱的胃比目鱼肌就是这种情况。成人这种结构的延长通常会导致永久性的推开无力,从而影响跑步和跳跃。一些外科医生在胫骨延长的同时大量延长这种结构,以获得更多的长度。我们避免这样做,因为患者将永远无法恢复以前的奔跑和跳跃能力。出于这个原因,我们通常被限制在胫骨的延长 5 厘米,这不会需要延长这块肌肉/肌腱。

肌肉痉挛

该患者在外部设施中身材延长了厘米。完成延长手术几个月后,腓骨的间歇愈合很小。

7 腓骨并发症

随着胫骨的延长,腓骨也必须延长。植入式加长装置仅延长和固定胫骨。腓骨必须固定在胫骨上,以便它与胫骨一起拉长。如果腓骨固定不固定或固定不充分,它不会像胫骨那样拉长,并会导致严重的后果,包括脚踝半脱位和关节炎以及膝盖屈曲挛缩。

固定方法至关重要。许多外科医生只将腓骨的下端固定在胫骨上。这会导致腓骨过早巩固,并在其上端从胫骨向下拉和脱臼。固定腓骨两端很重要。大多数外科医生避免这样做,因为这在技术上很难做到。

我们为所有患者的腓骨两端固定。植入式加长时,腓骨必须用螺钉固定在胫骨上;上端有一个螺钉,下端有一个螺钉。螺钉的角度、水平、位置、直径和类型都很重要。一个常见的错误是将螺钉水平放入两块骨头之间。这不足以防止腓骨从脚踝处的胫骨上拉开。这是非常微妙的,即使脚踝腓骨长度的几毫米差异也会给患者带来短期和/或长期后果。切除腓骨的一部分以防止腓骨不分离是另一种应避免的常见方法。它会导致腓骨不愈合,从而导致胫骨以后出现应力性骨折。

此外,它通常不会阻止腓骨从胫骨上拉开。因此,腓骨并发症与植入式延长装置的类型无关,而是与外科医生选择将腓骨固定到胫骨的方法和切割腓骨的方法有关。腓骨愈合的范围可以从过早巩固到完全不愈合。后者通常不需要治疗,只要胫骨牢固愈合。前者需要重复腓骨截骨术。

8 轴向偏差

继发于延长的轴向偏差或畸形并不是一个罕见的问题。它通常是可以预防的。使用转子钉更有可能出现内翻畸形。出于这个原因,我更喜欢使用梨状肌入口钉。在股骨近端延长术中,如果截骨术是在骨头紧贴指甲周围的地方进行的,则内翻成角的可能性不大。如果需要进行更近端的股骨截骨术,内侧阻断螺钉可以防止内翻偏斜。

轴向偏斜是胫骨中更常见的问题。胫骨往往会延长成外翻和外翘。为防止这种情况,钉子应插入正确的起点,该起点非常高,并且尽可能靠后,在胫骨的外侧,并在额平面的膝盖中心。如果指甲与截骨术上方的外侧皮层之间有空间,则应在该空间中插入阻挡螺钉。如果指甲与后皮层之间有空间,则在那里插入另一个阻挡螺钉。我设计了 STRYDE 钉子,通过提供第三个近端锁定螺钉(P2.2 只有两个)来抵抗轴向偏差。如果遵循所有这些预防措施,则不会随着延长而出现屈曲或外翻畸形。

敲击(外翻)鞠躬(内翻)
屈曲(procurvatum)

在外部机构胫骨身材延长并出现双侧并发症的患者。他发展了胫骨和 Abu/a 延迟结合,右侧是敲击 {外翻),左侧是弓形 {内翻),两侧是 f1exion {procurvatum}。我们在手术室使用临时外部斧头机对两侧进行了急性矫正,并放置了新的胫骨杆。我们在 Abu/a 延迟结合上放置了逆行杆。

为什么选择Paley研究院

我们提供全方位的高端增高解决方案,确保安全、有效的治疗效果

资深医疗团队

美国顶尖骨科专家带领,30年超过25000例延长手术经验,全球开展该手术经验最丰富的机构,全球#1安全可靠的肢体延长手术机构

美国专利技术

采用PRECICE内置磁控延长髓内钉系统,痛苦小,感染风险低,康复快

全球顶尖康复系统

术后康复至关重要。Paley研究院2000多平米康复基地,顶级宇航员零重力康复系统,20年经验康复专家

安全保障体系

严格术前评估、FDA认证设备、术中实时监测、术后终身随访

联系我们

填写咨询表单,我们的医疗顾问将为您提供专业解答

开启您的增高之旅

提交预约后,我们的医疗顾问将在24小时内联系您,并提供免费专业的线上初步评估。

电子邮箱

paleyinstitute@outlook.com

微信客服

PaleyAssist-Offcial